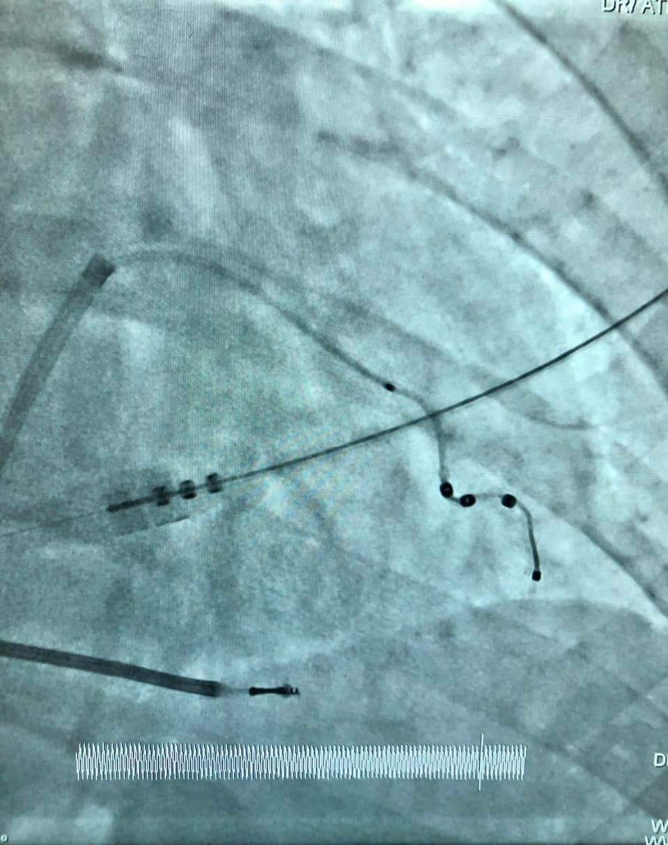
أعلن مستشفى المنصورة التخصصي التابع لأمانة المراكز الطبية المتخصصة عن زراعة وتركيب جهاز منظم ثلاثي دائم بصاعق داخلى لأول مرة بقسم القسطرة التداخلية بالمستشفى، حيث قام فريق طبى بقيادة الدكتور هانى عبد الشكور بزرع جهاز CRT - D لمريض يبلغ من العمر 68 عاما، ويعاني من ضعف شديد بعضلة القلب، وتعرض مرات متعددة لخلل فى كهرباء القلب فى شكل تسارع وارتجاف بطينى، وهى حالة عالية الخطورة، ومهددة للحياة.
يساعد هذا الجهاز حجرات القلب على الانقباض بطريقة أكثر تنظيمًا وكفاءة، وهو خيار علاجي لمرضى اعتلال عضلة القلب التوسعي، ورغم الصعوبات الفنية الكبيرة، وخطورة الحالة، تم الإجراء الطبي بنجاح كبير، وتحسنت حالة المريض بشكل كبير.
يذكر أنه قد تم إجراء العملية على نفقة التأمين الصحي بالكامل دون تحميل المريض أية تكلفة مالية.

جانب من إجراءات العملية بمستشفى المنصورة التخصصي

جانب من إجراءات العملية

أثناء إجراء العملية